Sistema PACS activo en instituciones médicas

El PACS que potencia tu institución médica

Mesys integra almacenamiento DICOM, visualización avanzada, reportería médica y portal de pacientes en una plataforma unificada, segura y escalable.

Sin licencias restrictivas
DICOM & IHE compliant
Soporte 24/7
Dashboard Mesys
50K+
Estudios
▲ 18% anual
99.9%
Uptime
▲ Garantizado
🗄️
PACS Enterprise Activo
👁️
OHIF Viewer Activo
📋
Reports Activo
🩺
Mi Historial Activo
📊
50K+
Estudios Procesados
🏥
5+
Instituciones Médicas
99.9%
Uptime Garantizado
🛡️
24/7
Soporte Disponible
Stack Completo

Soluciones Mesys

Módulos profesionales integrados para transformar el flujo de trabajo de imagenología médica en tu institución.

Módulo 01 — Base

PACS + Visualización
+ Seguridad

Sistema integral de almacenamiento, visualización y protección de estudios médicos. La base robusta sobre la que construye toda la solución Mesys.

🗄️
PACS Enterprise — DCM4CHEE Archive 5
Almacenamiento DICOM IHE-compliant con replicación automática, backup y soporte para decenas de miles de estudios. Compatible con CT, MRI, PET, SPECT y ultrasonido.
👁️
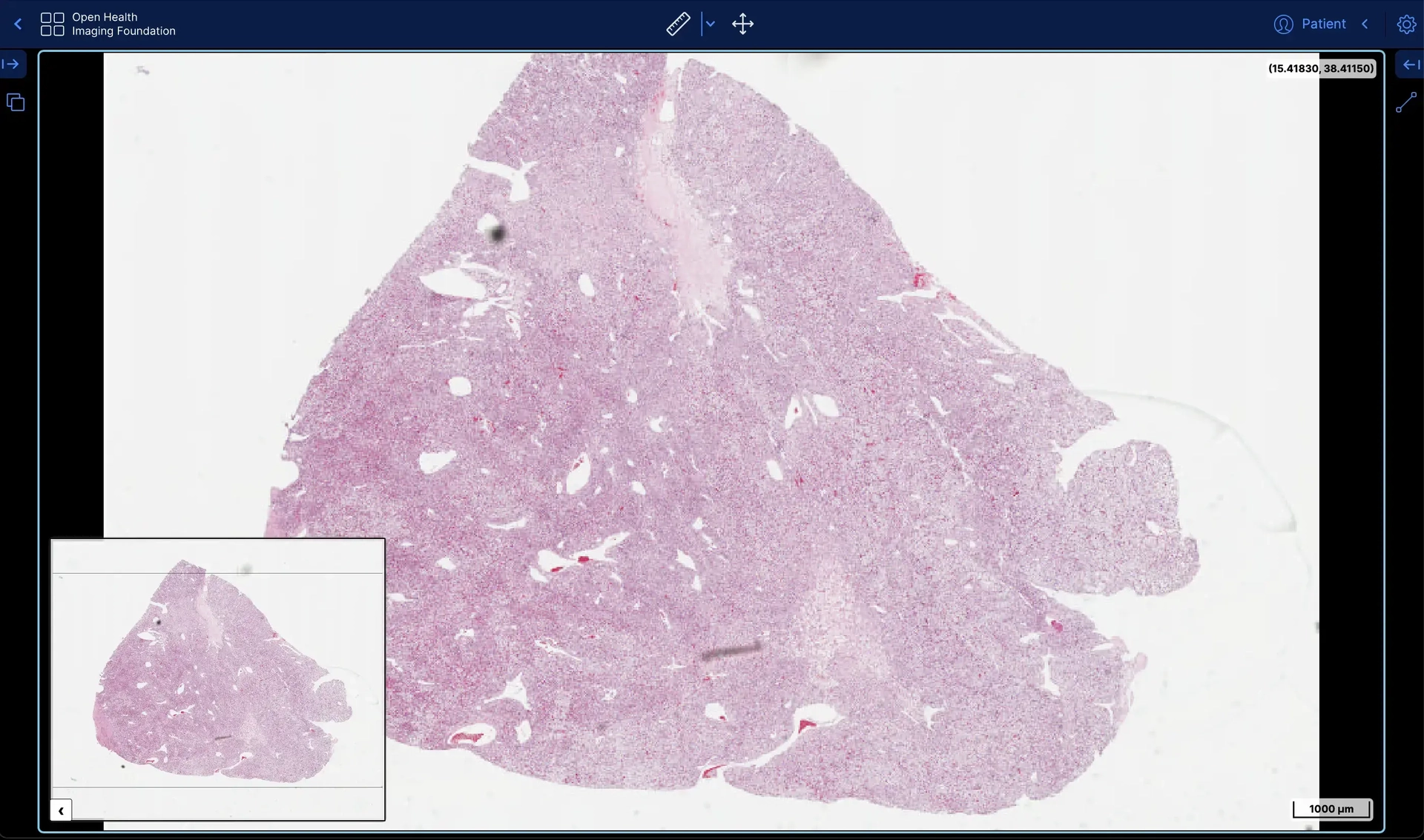
Visualización Profesional — OHIF Viewer
Visor DICOM moderno con GPU-WebGL, mediciones, anotaciones, segmentación y workflows personalizables. Sin instalación adicional.
🔐
Seguridad Enterprise Adaptable
Control de acceso granular, registro de operaciones y encriptación de datos. Arquitectura adaptable a los requisitos de seguridad de cada institución.
Módulo 02 — Reports

Reportería
Inteligente

Flujo completo de generación de informes médicos con firma digital, adendas y trazabilidad total desde preinformes hasta distribución.

📝
Preinformes Inteligentes
Plantillas personalizables por especialidad, dictado por voz y generación asistida directamente desde el PACS.
✍️
Firma Digital
Firma electrónica integrada al flujo de trabajo. Registro de quién firma, cuándo y desde dónde con trazabilidad completa.
📌
Adendas y Control de Versiones
Agrega correcciones a informes ya firmados con control de versiones automático y trazabilidad completa de cambios.
Módulo 03 — Mi Historial

Portal de
Pacientes

Empoderamiento del paciente con acceso seguro y controlado a su historial médico completo, visualización DICOM y compartir inteligente.

📚
Historial Completo y Seguro
Acceso 24/7 al historial de estudios. Búsqueda por fecha, tipo de estudio e institución. Interfaz simple e intuitiva.
🖥️
Visualización DICOM Embebida
Viewer DICOM embebido para pacientes. Descarga de PDFs de informes firmados digitalmente sin necesidad de software adicional.
🔗
Compartir Inteligente
Links seguros con expiración temporal. Control granular de permisos: solo lectura, descargas permitidas o acceso completo.
Open Source Enterprise

Tecnologías que Potencian Mesys

Stack enterprise de código abierto, auditado, confiable y usado por hospitales en todo el mundo.

dc4
DCM4CHEE Archive 5
PACS Enterprise

Sistema PACS IHE-compliant basado en Java. Almacena y gestiona imágenes DICOM en entornos de alta escala con replicación y backup.

  • Soporte para decenas de miles de estudios
  • Compatibilidad DICOM con todos los equipos
  • Replicación automática y backup
  • API REST para integraciones
OHIF
OHIF Viewer
Visualizador Profesional

Visor DICOM de código abierto de Massachusetts General Hospital. Interfaz web moderna con herramientas de análisis avanzado.

  • Renderización GPU-accelerated WebGL
  • Mediciones, anotaciones, segmentación
  • Todas las modalidades DICOM
  • Workflows personalizables
📋
Estándares Médicos
Interoperabilidad

Compatibilidad total con estándares internacionales de imagenología médica. Interoperabilidad garantizada con cualquier ecosistema médico.

  • DICOM — Digital Imaging Communications
  • IHE — Integrating Healthcare Enterprise
  • HL7 FHIR ready
⚙️
Arquitectura Resiliente
Cloud-Native

Arquitectura escalable para entornos críticos. Despliegue en cloud, on-premise o híbrido con alta disponibilidad garantizada.

  • Docker / Kubernetes ready
  • Alta disponibilidad con replicación
  • Escalamiento automático
  • Monitoreo y alertas 24/7
🔗
Integraciones
Ecosistema Abierto

APIs REST y DICOM para integración con sistemas hospitalarios existentes. Open source para máxima flexibilidad.

  • API REST completa y documentada
  • DICOM Query/Retrieve/Send
  • Compatible con RIS, HIS, EHR
  • Webhooks para automatizaciones
🔐
Seguridad Enterprise
Protección Completa

Seguridad de nivel enterprise con encriptación end-to-end, auditoría completa y control de acceso basado en roles.

  • TLS 1.3 en todas las comunicaciones
  • Encriptación end-to-end
  • Control de acceso por roles (RBAC)
  • Autenticación multi-factor
Aplicaciones Reales

Casos de Uso

Cómo Mesys transforma la eficiencia en diferentes entornos médicos.

Hospital

Radiología Centralizada

Coordina todos tus servicios de radiología en una plataforma única. Intervencionista, tomografía, resonancia y más.

  • Unificación de múltiples equipos DICOM
  • Reportería con firma digital
  • Auditoría completa de accesos
Clínica Especializada

Telemedicina

Especialistas revisan estudios desde cualquier lugar. Ideal para diagnósticos remotos en tiempo real.

  • Consultas remotas seguras
  • Sincronización en vivo de estudios
  • Historial completo del paciente
Red de Clínicas

Colaboración Multicentro

Centraliza estudios de múltiples sedes. Comparte información entre centros de forma segura e instantánea.

  • Base de datos compartida
  • Control de permisos granular
  • Sincronización automática
Clientes Activos

Instituciones que confían en Mesys

Hospitales y centros de salud de Argentina operando con el sistema Mesys.

Cliente
Hospital Municipal de San José
PACS + OHIF + Portal Pacientes
Cliente
Hospital Municipal Madariaga
PACS + Reports + OHIF
Cliente
Hospital Héroes de la Pandemia COVID-19
Mesys Completo — Todos los módulos
Cliente
CAPS Parada Robles
PACS + OHIF + Portal Pacientes
Cliente
UPA 9 Hurlingham
Mesys Completo — Todos los módulos
Preguntas Frecuentes

Todo lo que necesitas saber

Resolvemos las dudas más comunes sobre Mesys.

¿Qué es Mesys y cómo está estructurado?
Mesys es el sistema integral que engloba cuatro módulos: PACS (almacenamiento en DCM4CHEE), OHIF (visualizador profesional), Reports (informes médicos con firma digital) y Mi Historial (portal de pacientes). Todo integrado en una plataforma única, segura y escalable.
¿Por qué usar DCM4CHEE en lugar de otras soluciones PACS?
DCM4CHEE es la plataforma PACS de código abierto más robusta del mercado. Ofrece escalabilidad enterprise, seguridad certificada, sin costos de licencia restrictivos y la flexibilidad de adaptarse a cada institución. Es utilizado por hospitales de todo el mundo.
¿Qué ventajas ofrece OHIF como visualizador?
OHIF es el estándar de visualización DICOM moderno y de código abierto. Ofrece interfaz web moderna, herramientas analíticas completas, funciona en cualquier dispositivo sin instalación, y es mantenido por una comunidad internacional de profesionales médicos.
¿Cómo funciona el módulo Reports?
Reports permite a médicos y radiólogos generar informes estructurados directamente desde los estudios en OHIF. Soporta plantillas personalizables por especialidad, firma digital, adendas con control de versiones y distribución automática al portal del paciente.
¿Qué puede hacer un paciente en Mi Historial?
Los pacientes acceden de forma segura a sus estudios DICOM con visualización básica embebida, descarga de informes firmados, historial médico completo y recepción de notificaciones. Todo con control de permisos granular desde la institución.
¿Es posible instalar Mesys on-premise?
Sí. Mesys puede desplegarse on-premise, en cloud o en modo híbrido. La arquitectura basada en Docker y Kubernetes permite una instalación flexible adaptada a la infraestructura existente de cada institución.

¿Listo para transformar tu radiología?

Solicitá una demo personalizada y conocé cómo Mesys puede optimizar el flujo de trabajo de tu institución.